Leia o enunciado a seguir e responda às questões de números 04 e 05.
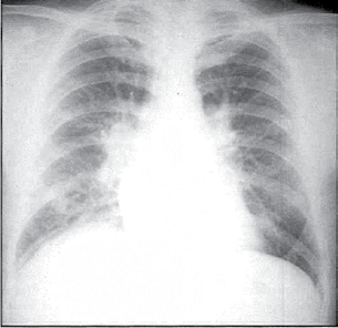
Paciente do sexo feminino, 39 anos, asmática, tem antecedente de valvopatia mitral reumática e estava assintomática até aproximadamente há 1 mês, quando passou a apresentar sintomas de dispneia em repouso e sensação de palpitação taquicárdica arrítmica. Procura atendimento médico por conta do cansaço intenso e o exame físico evidencia: taquidispneia em repouso, FC=pulso=120 bpm, PA = 120x80 mmHg, estertores crepitantes em 1/2 inferior de ambos os pulmões, associados a sibilos expiratórios, bulhas arrítmicas em 2 tempos, com sopro diastólico em foco mitral (ausculta dificultada pela alta frequência cardíaca). A radiografia de tórax e o eletrocardiograma dessa paciente encontram-se ilustrados a seguir.


O mecanismo fisiopatológico que melhor explica a descompensação clínica dessa paciente é