Homem, 71 anos, morador de zona rural no interior do Amazonas, diabético, hipertenso, com diagnóstico de insuficiência cardíaca com fração de ejeção reduzida, todas com bom controle clínico, é encaminhado ao hospital terciário três horas após ter sido vítima de acidente com animal peçonhento.
À chegada, apresenta-se sudoreico, sonolento, com vômitos. Ao exame clínico: PA 76x56, FC 118, FR 26, SatO2 85% a.a., TEC 4s. Propedêutica cardíaca: presença de B3 e de estase jugular a 45º. Propedêutica pulmonar: presença de estertores finos bibasais à ausculta respiratória.
Exames complementares: Glicemia 330 mg/dL, Na 137mEq/L, K 3,5mEq/L, Cl 101 mEq/L, troponina I 2,35mcg/L (VN < 0,014mcg/L), gasometria arterial com pH 7,15, PaO2 57mmHg, PaCO2 28mmHg, bicarbonato 10mEq/L, BE -14.
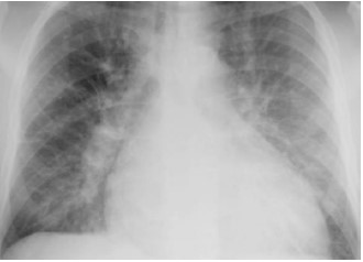
Segue radiografia de tórax.

Para esse paciente, assinale a opção que apresenta o tipo de acidente e o distúrbio gasométrico.