Paciente com 75 anos de idade, masculino, procedente de Minas Gerais, é encaminhado da atenção básica, devido a um quadro de tosse crônica seca (início há alguns anos) associado a dispneia que vem piorando (atualmente mMRC 3).
No interrogatório sintomatológico, o paciente relata também apresentar sintomas de refluxo com certa frequência. Ele nega sintomas de vias aéreas superiores, chiado torácico, febre, perda ponderal e dores articulares.
Antecedentes pessoais: o paciente relata ter diabetes e hipertensão arterial sistêmica, com uso regular de metformina e valsartana, nega história de infecções respiratórias prévias recorrentes e doenças reumatológicas diagnosticadas. O paciente afirma que nunca fumou.
História ocupacional/exposições: o paciente relata que trabalhou a vida toda em escritório, um ambiente que ele diz ser arejado e sem poeira, e também nega ter contato com aves, mofo e travesseiro de pena.
No exame físico: verifica-se bom estado geral do paciente, anictérico, orientado em tempo e espaço, com frequência respiratória de 28 irpm, frequência cardíaca de 99 bpm, pressão arterial 130 × 80 mmHg e saturação de oxigênio em ar ambiente de 89%.
Aparelho respiratório: sons respiratórios presentes bilaterais, com crepitações teleinspiratórias em regiões infraescapulares e axilares posteriores, sem uso de musculatura acessória.
Aparelho cardiovascular: ritmo cardíaco regular, hiperfonese de componente P2 em foco pulmonar, sem sopros.
Extremidades: discreto edema de membros inferiores bilateral, sem sinais de trombose, tempo de enchimento regular de 2 segundos e presença de baqueteamento digital.
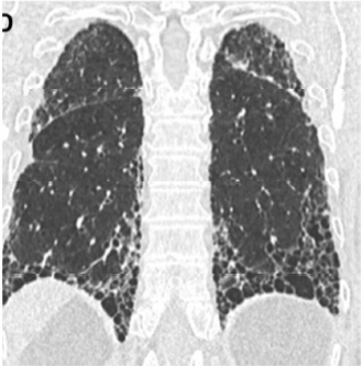
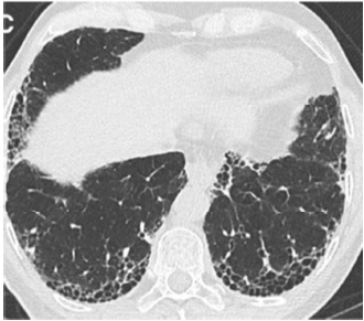
O paciente traz uma tomografia prévia solicitada pelo médico de família e representada nas imagens a seguir.


American Journal of Respiratory and Critical Care Medicine. Volume 198 Number 5 September 1 2018 (com adaptações).
Considerando a principal hipótese diagnóstica para o caso clínico hipotético apresentado anteriormente, julgue os itens a seguir.
I Geralmente a doença em questão ocorre em pacientes mais velhos, entre a sexta e a sétima década de vida. Frequentemente pacientes com esse diagnóstico apresentam como manifestação inicial uma exacerbação aguda.
II Os critérios diagnósticos são baseados na exclusão de outras causas de doença pulmonar, associados a padrão tomográfico específico ou combinações entre padrões tomográficos e histopatológicos.
III A broncoscopia pode auxiliar no diagnóstico. O esperado é que seja encontrada redução dos neutrófilos e(ou) linfocitose.
IV A reunião multidisciplinar (pneumologista, radiologista, cirurgião torácico e patologista), pode ajudar nos casos em que a tomografia sugere diagnóstico alternativo.
V Alguns diagnósticos diferenciais para o quadro descrito acima são: pneumonite de hipersensibilidade, doenças reumatológicas cursando com pneumopatia e toxicidade a drogas.
Estão certos apenas os itens