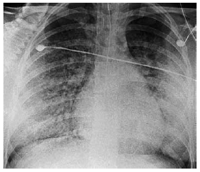
Mulher de 53 anos de idade, etilista, apresenta quadro de vômitos intensos há 2 dias, com provável aspiração orotraqueal. Em seguida, evolui com dispneia intensa, agitação, confusão e cianose de extremidades. Exame clínico: PA: 115 x 65 mmHg, FC: 128 bpm, FR: 44 ipm, T: 36,3 ºC, e SatO2: 54%; ausculta pulmonar com roncos e estertores difusos. A radiografia realizada é mostrada a seguir.

Com esses dados, a hipótese diagnóstica mais provável é de