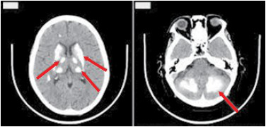
A tomografia de crânio a seguir mostra as lesões cerebrais características de um paciente portador de Doença de Fahr.

(https://www.google.com.br/imgres?imgurl=x-raw-image%3A%2F%2F%2F63fc0f91aac9890a31a5afd8c9e24b5b2fd30a5e052251f9f0cd4bd99358d4ee&imgrefurl=https%3A%2F%2Factamedicaportuguesa.com%2Frevista%2Findex.php%2Famp%2Farticle%2Fdownload%2F4090%2F3228&tbnid=ConJq)
Assinale a alternativa correta que contempla outras doenças que podem cursar com o mesmo achado de imagem.