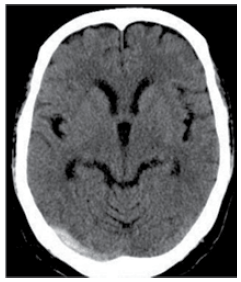
Adolescente do sexo feminino, de 14 anos de idade, é trazida ao pronto-socorro por dor de cabeça. Relata cefaleia persistente há 3 dias, a qual teve início súbito, com piora ao decúbito. Ao exame, apresenta papiledema e restrição na abdução do olho direito. Estudo de imagem demonstra a alteração a seguir.

O diagnóstico mais provável é