Instrução: A questão está relacionada ao caso clínico a seguir.
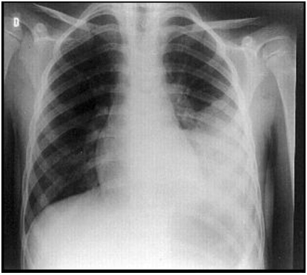
Homem, 24 anos, apresenta tosse, expectoração purulenta, dor torácica ventilatório-dependente à esquerda, febre (39,6ºC.) e calafrios. O radiograma de tórax é mostrado abaixo.

Em relação aos achados do radiograma do hemitórax esquerdo (no lobo inferior), é correto afirmar que se trata de