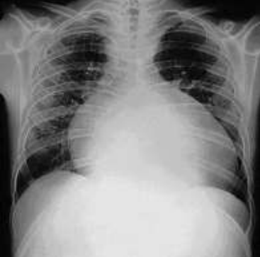
Lactente de 6 meses, previamente hígido, é levado à emergência pediátrica com quadro de tosse produtiva há 2 dias, associado com febre de 39 graus e dispneia. Ao exame físico: regular estado geral, descorado 1+, hidratado, acianótico, anictérico e afebril. FC = 180 bpm, FR = 65 ipm, SatO2 95% em ar ambiente. Murmúrio vesicular normodistribuído, com estertores subcrepitantes difusos, com tiragem subcostal moderada, 2 bulhas rítmicas hipofonéticas, sem sopros cardíacos. Pulsos periféricos cheios e TEC 4 segundos. Abdome com fígado palpável a 4 cm abaixo do rebordo costal direito. Restante sem alterações. Foi solicitado Rx tórax
(vide abaixo – fonte: Medscape®).

Assinale a alternativa que apresenta a principal hipótese diagnóstica.