Observe a radiografia a seguir.

Qual das alternativas a seguir descreve o nome da técnica utilizada na imagem de radiografia, para a localização, vestíbulo-lingual de terceiros molares inclusos? É a técnica
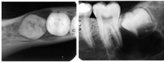
Observe a radiografia a seguir.

Qual das alternativas a seguir descreve o nome da técnica utilizada na imagem de radiografia, para a localização, vestíbulo-lingual de terceiros molares inclusos? É a técnica