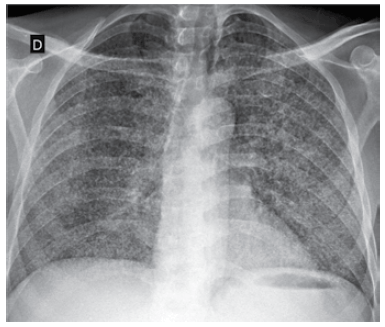
Paciente de 33 anos, HIV positivo, apresenta quadro de 1 mês com tosse seca, febre noturna, perda de peso, sudorese intensa, anorexia, adinamia e queda do estado geral. Ele não faz tratamento antirretroviral. Nega escarro hemoptoico e sintomas neurológicos ou gastrointestinais. Exame físico: consciente, orientado e anictérico; pressão arterial: 110 x 65 mmHg; pulso: 112 bpm; temperatura: 37,3 ºC; oximetria de pulso com saturação de 91%. A desidrogenase lática sérica é normal. A radiografia realizada é mostrada a seguir.

A principal hipótese diagnóstica é