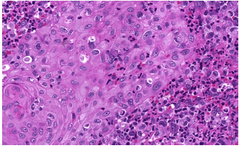
Homem, 52 anos, com lesão de pele que evoluiu com ulceração. Observe a imagem abaixo. Assinale a alternativa que apresenta o diagnóstico que a figura ilustra.

Homem, 52 anos, com lesão de pele que evoluiu com ulceração. Observe a imagem abaixo. Assinale a alternativa que apresenta o diagnóstico que a figura ilustra.
