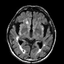
Paciente de 72 anos é referida ao consultório neurológico com queixas progressivas de perda de memória, alterações no comportamento e dificuldade em realizar tarefas diárias complexas, observadas pela família nos últimos dois anos. A avaliação cognitiva estruturada revela déficits significativos na memória episódica, funções executivas e orientação visuoespacial. O exame neurológico é notável por marcha apráxica e presença leve de rigidez axial. A ressonância magnética (RM) encontra-se a seguir.

(https://www.google.com/url?sa=i&url=https%3A%2F%2Fradiopaedia.org)
Com base nesses achados clínicos e radiológicos, das seguintes condições, assinale a que representa, corretamente, o diagnóstico mais provável.