Magna Concursos
3401035 Ano: 2024
Disciplina: Odontologia
Banca: COTEC
Orgão: Pref. Montes Claros-MG
Provas:

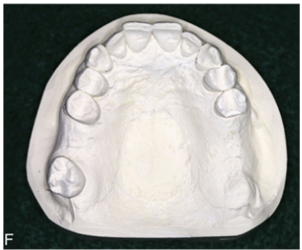
Um paciente do sexo masculino, 54 anos de idade, procura atendimento odontológico com a intenção de colocar uma prótese no arco superior. No exame clínico, o cirurgião-dentista verifica a ausência de alguns dentes conforme imagem ao lado.

Enunciado 3892258-1

Fonte: CARR, Alan B. McCracken prótese parcial removível. Rio de Janeiro: Grupo GEN, 2017.

Analise o caso clínico descrito e assinale a alternativa que apresenta os elementos dentários que são considerados pilares diretos.

 

Provas

Questão presente nas seguintes provas

Odontólogo - Prótese

40 Questões