
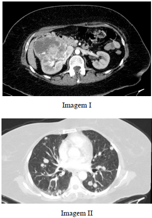
Paciente de 56 anos de idade com quadro de dor lombar e hematúria, sem febre ou alterações no leucograma, apresenta exames de tomografia computadorizada com as imagens I e II precedentes.
Considerando o provável diagnóstico de lesão renal para esse paciente, julgue o item seguinte.
Lesões renais como a desse paciente geralmente são sintomáticas, mesmo com dimensões menores, e raramente são encontradas como achado incidental em exames de imagem.