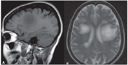
Avalie o seguinte achado radiográfico de uma ressonância magnética, plano sagital ponderada em T1 (A) e axial
ponderada em T2 (B).
(Disponível em: http://www.rb.org.br/imagens/v44n2a13-fig11.jpg.)
O achado radiográfico trata-se de:
(Disponível em: http://www.rb.org.br/imagens/v44n2a13-fig11.jpg.) O achado radiográfico trata-se de:
Provas
Questão presente nas seguintes provas
Técnico Nível Superior I - Médico Radiologista
30 Questões