Magna Concursos
2159015 Ano: 2021
Disciplina: Medicina
Banca: VUNESP
Orgão: PB Saúde

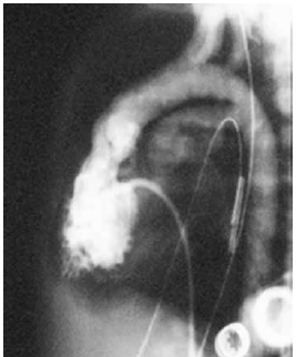
Observe a imagem.

Enunciado 2971787-1

Essa ventriculografia representa a seguinte cardiopatia congênita:

 

Provas

Questão presente nas seguintes provas

Médico - Cardiologia Pediátrica

50 Questões