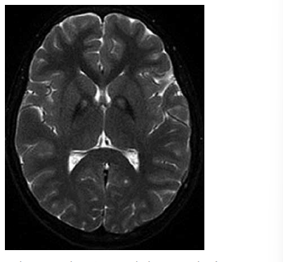
Menina de 9 anos de idade apresenta história progressiva de distonia, disartria e regressão cognitiva. A imagem por ressonância magnética de crânio revela o achado a seguir.

O gene mais provavelmente associado ao quadro é:
Provas
Questão presente nas seguintes provas