Magna Concursos
2729795 Ano: 2023
Disciplina: Odontologia
Banca: UFPR
Orgão: IF-PR

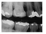
Assinale a alternativa que identifica o nome da técnica radiográfica da imagem ao lado.


Enunciado 3486166-1

 

Provas

Questão presente nas seguintes provas

Técnico de Laboratório - Saúde Bucal

35 Questões