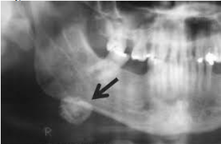
Paciente T.F., 42 anos, melanoderma, sexo masculino, compareceu à clínica odontológica após queda de bicicleta. Ao exame clínico, você observa edema na região inferior da mandíbula. O paciente relata desconforto local e dor. Suspeitando de fratura, você solicita uma radiografia panorâmica. Ao examinar a radiografia, nota-se uma imagem radiopaca na porção inferior da mandíbula, próxima à região de ângulo mandibular. Notadamente, a imagem radiopaca ocorre em tecido mole.
Nesse contexto, você tem como diagnóstico:

Fonte: Ramos-Jorge, Motta-Rêgo e Santos (2006)