Magna Concursos
2591209 Ano: 2022
Disciplina: Medicina
Banca: VUNESP
Orgão: Pref. Campinas-SP
Provas:

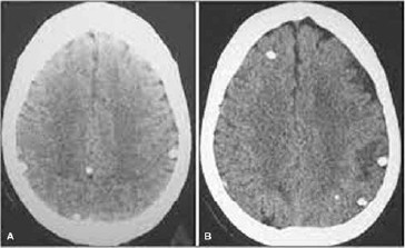
Observe a imagem a seguir.

Enunciado 3417705-1

(https://www.google.com.br/imgres)

Com base nessa imagem, o diagnóstico é:

 

Provas

Questão presente nas seguintes provas

Médico - Neurologia

50 Questões