Magna Concursos
2829200 Ano: 2022
Disciplina: Medicina
Banca: VUNESP
Orgão: EsFCEx

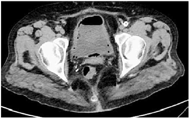
Paciente diabética, portadora de IRC em programa de diálise, apresenta ITU de repetição por Escherichia Coli.

Enunciado 3014210-1

Na CT de bexiga sem contraste, foi encontrado o seguinte diagnóstico:

 

Provas

Questão presente nas seguintes provas