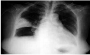
Paciente de 45 anos, dispneico. Feito apenas raio-x e ECG porque o laboratório está fechado. Qual é o provável diagnóstico, pelo raio-x e qual seria a alteração mais comum no ECG?

Paciente de 45 anos, dispneico. Feito apenas raio-x e ECG porque o laboratório está fechado. Qual é o provável diagnóstico, pelo raio-x e qual seria a alteração mais comum no ECG?
