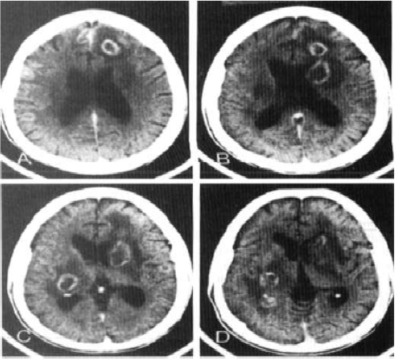
Sr. FS, 39 anos, convive com HIV há 10 anos, faz uso irregular de terapia antirretroviral e não sabe referir seu último CD4 dosado. Ele procura atendimento no pronto-socorro por quadro de rebaixamento do nível de consciência há três dias, associado à intensa cefaleia. Apresentou três episódios de convulsões tônico-clônicas generalizadas. O exame neurológico simplificado demonstrou hemiparesia à esquerda, Glasgow 13, sem sinais de irritação meníngea e com fundo de olho normal. Foi realizada tomografia, de acordo com a imagem a seguir:

Considere que a principal hipótese diagnóstica foi confirmada. Qual deve ser a conduta CORRETA?
Provas
Questão presente nas seguintes provas