Magna Concursos
2215579 Ano: 2022
Disciplina: Medicina
Banca: CEPERJ
Orgão: ALEMA

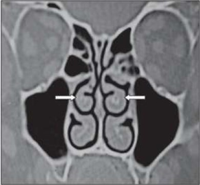
Enunciado 2215579-1

Na figura acima, de uma tomografia computadorizada dos seios paranasais, é possível observar na ponta da seta:

 

Provas

Questão presente nas seguintes provas

Médico - Otorrinolaringologia

50 Questões