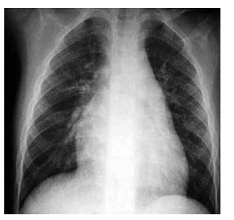
Homem, 35 anos, apresenta os seguintes achados: ventrículo direito palpável, sopro sistólico em borda esternal esquerda alta e desdobramento fixo de segunda bulha. Eletrocardiograma: bloqueio de ramo direito. A radiografia de tórax está ilustrada a seguir.

O diagnóstico é compatível com