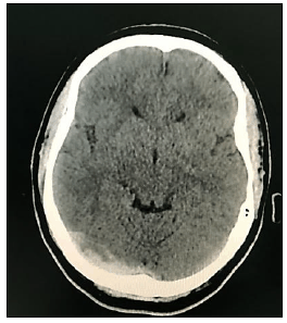
“Paciente, sexo feminino, 40 anos de idade, tabagista ativa, teve quadro de Covid-19 leve há uma semana, evoluindo com cefaleia holocraniana persistente, de forte intensidade, refratária à analgesia simples. Nega ter cefaleia prévia. Após três dias de dor, cursou com um episódio de crise convulsiva generalizada, sendo, então, levada ao hospital de referência próximo a sua residência, onde realizou a seguinte tomografia computadorizada de crânio sem contraste:”

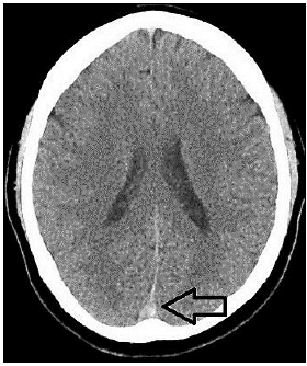
De acordo com as informações, a indicação na tomografia computadorizada de crânio sem contraste se refere ao seguinte sinal radiológico:
