
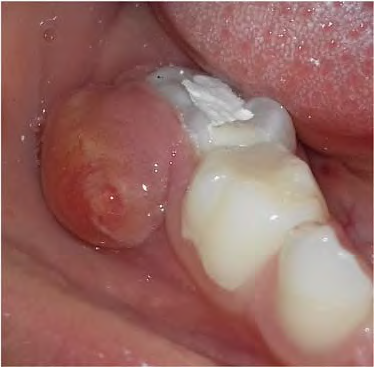
Figura D
Uma criança de 4 anos de idade, afebril e em bom estado geral compareceu para tratamento de urgência em função do surgimento de um nódulo de consistência amolecida e coloração amarelada, medindo 1 cm de diâmetro, localizado na região vestibular do dente 85. palpação do nódulo, houve a saída de secreção purulenta. A mãe informou que, há três meses, a criança havia passado por um atendimento de urgência, e na ocasião, havia sido colocada apenas uma “massinha no dente”.
Com relação a esse caso clínico e aos conhecimentos correlatos, julgue os itens a seguir.
A presença de inúmeros canais secundários na superfície radicular e na área de furca aumenta a possibilidade de repercussões periapicais, a partir da evolução do processo carioso, em dentes decíduos posteriores.