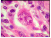
“Paciente, sexo masculino, 12 anos, há 2 meses iniciou quadro de massa cervical à direita. Relata alguns episódios de febre intercalados por períodos assintomáticos nos últimos meses. Ao exame físico, detecta-se uma massa em cadeia cervical superior direita, medindo 4 x 4 cm.” Ao biopsiar a lesão, visualizou-se a imagem a seguir. Diante do exposto, o diagnóstico mais provável para o caso é
