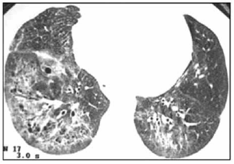
Mulher, 46 anos, procura atendimento médico com queixa de sensação de fraqueza e adinamia. Observou que, principalmente em dias mais frios, apresenta palidez e cianose em extremidades. Além disso, já procurou dermatologista por queda de cabelo, além de espessamento e endurecimento da pele. Houve surgimento de diversas lesões de pele com características de teleangiectasias e, recentemente, passou a cursar com disfagia a alimentos sólidos e dispneia aos pequenos esforços. O ecocardiograma transtorácico revelou PSAP de 70 mmHg, e um corte da tomografia de tórax realizada está ilustrado a seguir.

Considerando a principal hipótese diagnóstica, sabe-se que o autoanticorpo que se correlaciona aos achados e a mau prognóstico é o