Lactente masculino, 6 meses de idade, é levado à emergência pediátrica por sua mãe devido ao surgimento de “caroços” em pescoço e na virilha há cerca de 1 mês. Nos últimos dias, refere que o menor está mais irritado, além de perceber a respiração mais “rápida”. Relata que a criança apresentou picos febris em alguns dias ao longo desse período
O exame físico chamou a atenção do pediatra nos seguintes aspectos:
- Leve palidez; irritabilidade durante todo o exame físico; linfonodos palpáveis em regiões cervical e inguinais bilaterais, com os maiores medindo cerca de 3 cm; frequência respiratória de 60 incursões por minuto; fígado palpável a 4 cm do rebordo costal direito.
Solicitados exames:
- Hemograma: HGB 10,5 g/dL VCM 70 fL HCM 24 pg
- Leucócitos 12.450 mm3 / Plaquetas 165.000 / mm3
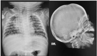
- RX tórax (vide imagem abaixo). *O laudo do radiologista evidenciou, entre outros achados, lesões osteolíticas em ambas as escápulas. Foi sugerido realizar RX de crânio (vide abaixo).
