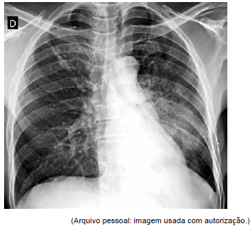
Paciente é atendido em consulta de retorno. Ele tem histórico de asma, mas há 3 dias tem evoluído com deterioração significativa da doença. A radiografia de tórax realizada é mostrada a seguir.

Considerando os dados descritos, qual é a mais provável causa da piora da asma?