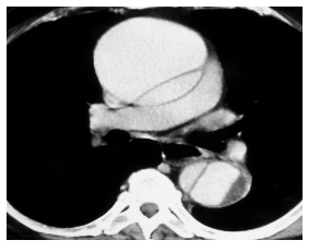
Homem, 48 anos, apresenta quadro súbito de dor torácica anterior em rasgada com
irradiação dorsal associado à sudorese e mal-estar. De base tabagista, etilista e portador de
hipertensão arterial sistêmica em tratamento
irregular. Ao exame físico, encontrava-se sudoréico,
pálido e com PA 220 x 120 mmhg, P 120 bpm, FR
28 irpm e SAT 92% em ar ambiente. ECG sem
sinais isquêmicos agudos e angio-CT de tórax com
imagem ao lado.

Em relação a essa patologia,

Em relação a essa patologia,