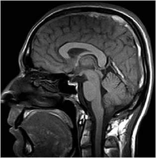
Mulher de 23 anos com 14 semanas de gestação relata quadro de cefaleia holocraniana há uma semana, que vem piorando de intensidade. A dor de cabeça piora à noite e causa visão embaçada. O exame clínico é normal e não há déficit neurológico focal, nem rigidez de nuca. Exames séricos são normais. A ressonância magnética T1 sagital realizada é mostrada a seguir:

(Arquivo pessoal; imagem usada com autorização)
Constitui a principal hipótese que justifica o quadro descrito: