Magna Concursos
2170303 Ano: 2022
Disciplina: Medicina
Banca: UERJ-SGP
Orgão: UERJ
Provas:
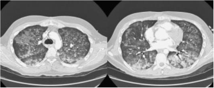
Jovem de 20 anos estava hígido até duas semanas atrás, quando começou a apresentar desconforto torácico e fraqueza de membros. Ao exame: PA = 120/90mmHg; FC = 75bpm; FR = 24irpm; temperatura axilar = 36,3ºC. Exame cardiovascular sem alterações, mas com estertores crepitantes nos 1/3 inferiores de ambos os pulmões. No hemograma: hematócrito = 30,7%; hemoglobina = 10,4g/dL; plaquetas = 345mil/µL; leucograma = 14.500/µL; ureia = 214mg/dL; creatinina = 30mg/dL; potássio = 5,5mEq/L; sódio = 141mEq/L; cálcio = 7,6mg/dL; fósforo = 7,3mg/dL; magnésio = 3,0mg/dL; proteína total = 5,1g/dL (albumina 2,1g/dL); AST = 18ui/L; ALT = 14ui/L com EAS apresentando 3+ de proteína. Os complementos séricos estavam normais e os seguintes exames foram negativos: HBsAG, antiHCV, FAN e ANCA. Iniciado procedimento de hemodiálise, no 4º dia de hospitalização, apresentou hemoptise volumosa com instabilidade hemodinâmica. Foi para o centro de terapia intensiva e realizou tomografia computadorizada de tórax (conforme imagem a seguir). A dosagem do anticorpo antimembrana basal glomerular foi de 257EU/mL (valor de referência: < 5EU/mL).
Enunciado 2170303-1


O diagnóstico mais provável é:
 

Provas

Questão presente nas seguintes provas

Médico - Pneumologia

60 Questões