Magna Concursos
2711271 Ano: 2022
Disciplina: Serviços Gerais
Banca: Verbena
Orgão: Pref. Itiquira-MT
Provas:

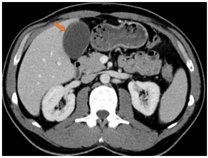
Observe o exame a seguir para responder as questões 39 e 40.

Enunciado 2711271-1

O método de imagem utilizado evidencia

 

Provas

Questão presente nas seguintes provas

Técnico de Raio X

40 Questões