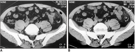
Um médico radiologista está de sobreaviso e recebe a ligação do plantonista da cirurgia geral para avaliar a tomografia de paciente feminino, 60 anos, com queixa de dor abdominal baixa há 1 dia. De acordo com as seguintes imagens, qual é o diagnóstico mais provável?
