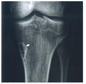
Radiografia realizada em paciente do sexo masculino de 17 anos demonstra a lesão radioluminescente com bordas escleróticas apontada pelas setas na figura. O diagnóstico CORRETO é:

Radiografia realizada em paciente do sexo masculino de 17 anos demonstra a lesão radioluminescente com bordas escleróticas apontada pelas setas na figura. O diagnóstico CORRETO é:
