Magna Concursos
Situação hipotética para a questão.
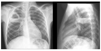
Um idoso de 76 anos de idade, em reabilitação neurológica devido a um hematoma subdural, após sofrer queda da própria altura, em uso de gastrostomia (passada em internação prolongada recente há menos de uma semana), dirigiu-se ao pronto-socorro, trazido pela família e proveniente de instituição de reabilitação para idosos. O paciente foi trazido devido a um quadro de febre, à confusão mental e à dispneia já há três dias. Foi realizada radiografia de tórax na admissão, cujas imagens estão dispostas a seguir.
Enunciado 4079601-1
Com base nessa situação hipotética, assinale a alternativa que apresenta a hipótese diagnóstica adequada.
 

Provas

Questão presente nas seguintes provas