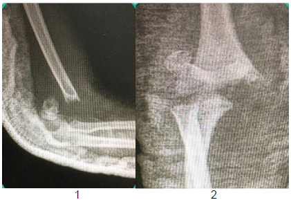
Paciente de 4 anos sofre queda do pula-pula e vem ao pronto-socorro com dor e deformidade do cotovelo direito. Faz as seguintes radiografias:

Fonte: COHEN, Moisés. Tratado de ortopedia. São Paulo: Editora Roca, 2007.
Qual é, respectivamente, a conduta e o nervo mais frequentemente lesado nesse tipo de fratura?