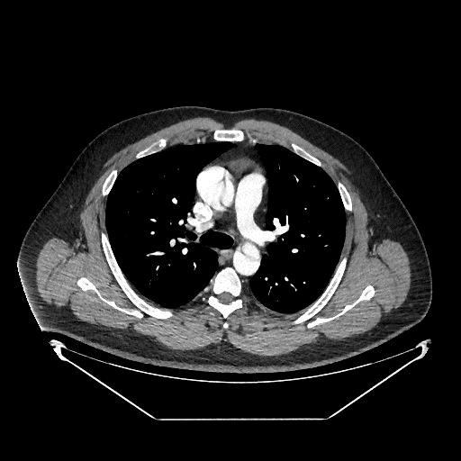
Um homem idoso apresenta-se em serviço de emergência com relato de dor torácica retroesternal de forte intensidade (10 de 10 em escala numérica) há cerca de uma hora, em rasgante, com irradiação para o dorso. Previamente hipertenso, com uso irregular de medicações, ao exame físico da admissão, estava lúcido e orientado, com fácies de dor, sudoreico, com pressão arterial de MSD 168 x 96 mmHg e MSE 130 x 50 mmHg, frequência cardíaca de 124 bpm, frequência respiratória de 20 rpm, temperatura de 36,7 ⁰C e saturação de 98%. Foram realizadas medidas de estabilização e exames complementares (mostrados a seguir).


Com base nesse caso hipotético, assinale a alternativa que apresenta a conduta a ser adotada após os resultados dos últimos exames realizados.