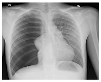
Após sofrer trauma de tórax contuso, determinado paciente de
35 anos de idade chega à emergência e relata que é motorista de
moto e colidiu contra um carro, com cinemática grave. Durante a
avaliação inicial, o paciente encontra-se alerta, conversando,
lúcido. A via aérea está prévia, ausculta pulmonar com murmúrio
abolido à direita, expansão torácica assimétrica, sem sinais de
choque ou instabilidade hemodinâmica, sem turgência jugular.
Ele apresenta abdome flácido e indolor, pelve estável, sem outras
alterações no exame físico. Os raios X de tórax a seguir foram
realizados na admissão do paciente em unidade hospitalar.

Com base nesse caso clínico hipotético e na imagem radiográfica apresentada, e considerando os conhecimentos médicos correlatos, assinale a alternativa correta.

Com base nesse caso clínico hipotético e na imagem radiográfica apresentada, e considerando os conhecimentos médicos correlatos, assinale a alternativa correta.