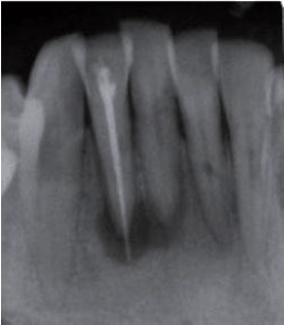
INSTRUÇÃO: A questão é baseada no caso clínico e radiografia abaixo.
Paciente do gênero feminino, 33 anos, procurou atendimento odontológico queixando-se de dor há algum tempo no dente 42 durante a mastigação. Relatou que tinha feito endodontia no dente em questão havia alguns meses. Ao exame radiográfico, verificou-se presença de área radiolúcida no terço apical dos dentes 41 e 42 e sobreobturação no 42. O dente 41 respondeu negativamente ao teste de vitalidade.

Qual o tratamento mais indicado?