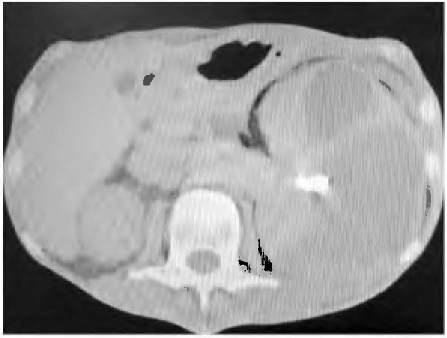
Paciente do sexo masculino, 62 anos de idade, dá entrada na emergência apresentando dor no flanco esquerdo e febre com dois meses de evolução, que se intensificaram na última semana. Realizada tomografia de abdome sem contraste, abaixo representada:

Fonte: Arquivo pessoal.
O diagnóstico que se impõe nesse caso é: