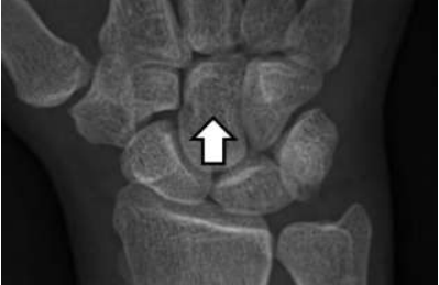
A imagem apresenta uma radiografia do punho, com destaque para os ossos do carpo, observe:

Considerando a disposição anatômica correta dos ossos carpais, o osso em destaque corresponde ao:
A imagem apresenta uma radiografia do punho, com destaque para os ossos do carpo, observe:

Considerando a disposição anatômica correta dos ossos carpais, o osso em destaque corresponde ao: