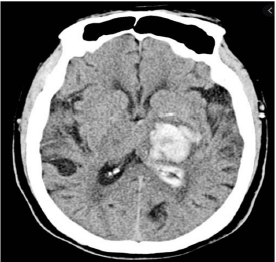
Paciente de 59 anos, do sexo masculino, com antecedente de HAS, DM e tabagismo, dá entrada em serviço de emergência com quadro de cefaleia súbita após briga no trânsito, seguida de hemiparesia em dimídio direito e afasia de expressão.
À admissão, está com FC 66, PA 198x118 e glicemia capilar de 275mg/dL. Realizada TC de crânio, exibida abaixo.

Assinale a opção que indica a única medida que não melhora o desfecho neurológico deste doente.