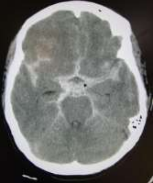
Paciente do sexo masculino, 50 anos, hipertenso não controlado, dá entrada em serviço de emergência hospitalar com quadro de cefaleia súbita aguda e rebaixamento do nível de consciência. A TC de crânio realizada na unidade demonstra o seguinte achado:

Sobre este caso, assinale a alternativa correta.