A cardiomiopatia hipertrófica é definida pela presença de hipertrofia ventricular esquerda na ausência de outras doenças sistêmicas, sindrômicas, metabólicas e cardíacas. É a anormalidade genética mais comum do miocárdio com uma prevalência estimada variando de 1:500 a 1:200.
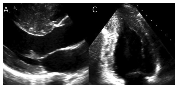
Analise o ecocardiograma a seguir.

Sendo esse exame a modalidade de escolha inicial para o diagnóstico dessa patologia, assinale a alternativa correta.