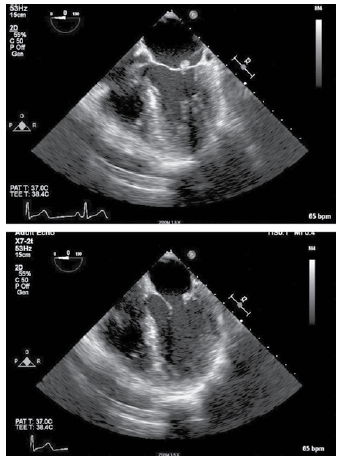
Homem de 62 anos é avaliado após apresentar quadro de fraqueza transitória no braço direito e na perna direita há 3 horas, com completa recuperação. O histórico médico não é digno de nota, e ele não toma medicamento. Ao exame físico: os sinais vitais e o restante do exame são normais. Os estudos laboratoriais são notáveis por uma velocidade de hemossedimentação de 16 mm/h e colesterol LDL de 70 mg/dL. O eletrocardiograma de 12 derivações é normal. A ultrassonografia duplex da carótida não mostra evidência de placa hemodinamicamente significativa. A ressonância magnética do cérebro revela um pequeno infarto capsular interno esquerdo. O ecocardiograma transesofágico realizado é mostrado a seguir, com imagens representativas de quatro câmaras do esôfago médio no final da sístole (painel superior) e no final da diástole (painel inferior):

O diagnóstico mais provável é