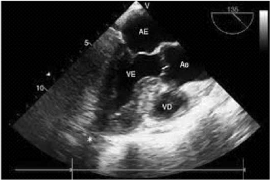
Paciente do sexo feminino, 72 anos, portadora de mieloma múltiplo em investigação atual. Com internação via pronto-socorro, após terceira ida nos últimos meses, pela mesma história de tosse seca, dispneia ao repouso e edema de membros inferiores. Ao exame físico, apresenta hipofonese de bulhas e presença de terceira bulha, com queda da pressão arterial sistólica de 15 mmHg durante a inspiração profunda; estertores crepitantes nos dois terços inferiores dos pulmões. O eletrocardiograma de repouso com padrão de baixa voltagem e sem sinais de sobrecarga de câmaras esquerdas e o ecocardiograma realizado à beira a leito, na UTI, é o que segue:

A etologia que deve ser pesquisada para o quadro clínico?