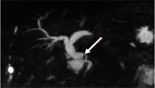
Paciente foi submetido a transplante hepático em outubro de 2016. Teve boa evolução no pós-operatório, com seguimento ambulatorial regular. Outros antecedentes: Infarto Agudo do Miocárdio há 4 meses e Doença Pulmonar Obstrutiva Crônica. Dois anos pós-transplante, paciente retorna com prurido progressivo, colúria, acolia fecal e icterícia há 15 dias. Traz consigo exames recentes: Hb= 10,5g/dl; Leucócitos= 8.500mm³ ; Plaquetas= 145.000mm³ ; Bilirrubinas total= 10,9mg/dL; Albumina= 4,5gdL; Fosfatase alcalina= 365U/L; Gamaglutamiltransferase= 1320U/L; AST= 34U/L; ALT= 24U/L; RNI=1,12; Creatinina= 0,8mg/dL. Ultrassonografia Doppler de abdome com achado de perviedade de vasos em hilo hepático e dilatação de árvore biliar intra-hepática. Solicitado colangiorressonância com imagem abaixo:

Realizada Colangiopancreatografia Retrógrada Endoscópica (CPRE) com achado abaixo, onde se observa dificuldade de passagem de fio guia devido tortuosidade de colédoco do receptor:

Frente ao presente caso, a melhor conduta é: